In what many are calling a modern-day miracle, a mother from Kentucky, Amanda Foster, claims that her unborn baby was touched by the “hand of God”.
And she has the ultrasound to prove it. This deeply emotional story has captured the hearts of thousands on social media.
As Amanda shares her journey through loss, hope, and ultimate joy. Amanda, now 33 years old, first shared an image of her ultrasound in April 2022, announcing the good news to friends and family on Facebook.
The post showed a clear image of her unborn son, Jay, with the proud mother celebrating that her baby had “healthy kidneys, no cysts, and perfect blood flow to and from the heart.”
But the significance of the image went beyond mere medical news. Amanda also shared that her baby was “Potter syndrome free,” a rare condition that can severely affect the development of a baby’s kidneys and other vital organs.

According to the Cleveland Clinic, Potter syndrome is life-threatening, and many infants with the condition have only a brief chance at survival.
A Mother’s Past Trauma and Fear
For Amanda, the anxiety surrounding Potter syndrome was personal and deeply rooted in past trauma.
At just 17 years old, she lost her first child, Xavier, at 20 weeks of pregnancy.
The loss left an indelible mark on her heart, and the grief that followed was compounded by the fear that any future pregnancy could face similar complications.
“My thought at that time was, ‘Well, if God is going to take my son, He will take me too!’” Amanda wrote in a Facebook post reflecting on her early grief.
“It didn’t work out that way, and I developed a deep resentment and anger toward God.”
Adding to her worries, Amanda was informed that having a healthy baby boy would be particularly challenging.
Potter syndrome occurs more frequently in male infants, which heightened her anxiety about conceiving a son.
Despite this, Amanda and her husband, Kyle, eventually welcomed two healthy daughters into their lives, and later, their long-awaited first son, Jay, arrived in August 2022, bringing immense joy to their family.

Facing New Challenges
Fast forward to the present, and Amanda and Kyle were preparing for another pregnancy, hoping for another son, whom they would name Kyler.
However, their hopes were met with new challenges early in the pregnancy.
Doctors discovered a serious heart defect in the unborn baby — an aortic septum abnormality — which could potentially threaten his life.
For Amanda, the news was both frightening and sobering.
The experience of losing a child before made her fear the worst, but she refused to give up hope.
She shared her journey in heartfelt posts on Facebook, describing how she turned to prayer in moments of fear.
“Each time before ultrasounds, I’ve dropped to my knees right in the doctor’s office to pray over Kyler,” Amanda wrote.
“In my prayers for him, I’ve asked the Lord repeatedly to please keep His hand on my baby and, whatever His plan may be, to help me trust fully in it with ease.”
A Miraculous Discovery
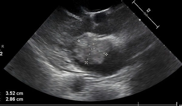
It was during one of these routine ultrasounds that something extraordinary appeared.
Amanda had brought along her youngest daughter, Bailey, hoping her presence would provide comfort and distraction from the nerves that had followed Amanda throughout her high-risk pregnancy.
But Bailey’s curiosity led to a moment that neither Amanda nor her husband would forget.

“My youngest daughter Bailey was the first to notice it and asked me whose hand that was,” Amanda wrote in a post that has since gone viral.
The accompanying black-and-white ultrasound image appears, to Amanda, to show a divine presence: a giant hand seemingly cradling the baby’s head.
Amanda described the overwhelming emotion she felt when she saw the image. “It brought me to tears over all God has and continues to do for me. I couldn’t ever fathom a thought of living without God in my life.”
For Amanda, the image became far more than a medical scan. It symbolized protection, reassurance, and the hope that even after profound loss, life and joy could prevail.
Celebrating Life
As the pregnancy progressed, Amanda continued to share updates with her growing social media following.
By June 20, 2022, she posted that her baby, Kyler, was thriving. At 36 weeks, the healthy baby boy was already over seven pounds. “Our chunky boy is going to be the biggest baby I’ve officially ever had,” she wrote.
She described how doctors monitored Kyler’s practice breathing, noting that his measurements were a week and a half ahead.
His heart rate was recorded at 132, and Amanda expressed her excitement at the thought of finally holding him.
These updates not only shared her joy but also offered a window into the realities of pregnancy after loss.
High-risk pregnancies, the anxiety of prenatal complications, and the weight of past trauma can create a complex emotional landscape.
Amanda’s transparency and openness provided both inspiration and comfort to many parents facing similar challenges.

Understanding Potter Syndrome
To fully appreciate Amanda’s story, it helps to understand Potter syndrome, a condition that had haunted her early pregnancies.
Potter syndrome, or Potter sequence, is a rare congenital disorder characterized by abnormal kidney development. Without functioning kidneys, babies often experience insufficient amniotic fluid in the womb, which can lead to underdeveloped lungs and other complications.
According to medical sources, the condition is life-threatening and historically carried a grim prognosis.
Amanda’s relief at learning that her babies were free from Potter syndrome cannot be overstated. For a mother who had lost a child due to prenatal complications, each ultrasound became a moment of both medical and spiritual significance.
Faith in the Midst of Fear
Amanda’s story is also one of faith. Her repeated prayers over Kyler before each ultrasound highlight the powerful intersection of hope, fear, and belief.
In her posts, she emphasized that her faith provided comfort during moments of uncertainty and anxiety. By sharing her journey publicly, Amanda has encouraged other parents to hold onto hope, even when faced with the unknown.
Many social media users were quick to comment on the ultrasound image, offering words of support, congratulations, and shared awe at what Amanda perceives as a divine sign.
The viral nature of her story reflects a collective yearning for hope, miracles, and reassurance in the face of life’s uncertainties.
The Power of Community
Amanda’s openness about her experiences also underscores the importance of community and support. From friends celebrating milestones to strangers offering encouragement, the digital community has played a vital role in amplifying her story.
Social media has allowed Amanda to share not only her joy but also her vulnerabilities, creating a space where others can feel seen and understood.

Her story reminds us that the journey of parenthood, while deeply personal, is rarely walked alone.
Sharing experiences, whether through social media or in-person support networks, can provide strength and comfort during even the most challenging times.
Looking Ahead
As Amanda and Kyle prepare to welcome Kyler into their family, the couple reflects on the lessons of resilience, hope, and gratitude that their journey has taught them.
From the heartbreak of losing a first child to the miracles of healthy pregnancies and the perceived “hand of God” cradling their unborn son, their story is a testament to the enduring human spirit.
Amanda has continued to update her followers with joyful milestones — each kick, each growth scan, and each small measure of progress celebrated as a triumph over past fears and present anxieties.
These moments, both ordinary and extraordinary, serve as a reminder that life is fragile, precious, and sometimes filled with wonder beyond explanation.
A Message of Hope
Amanda Foster’s story is not just about an ultrasound image or a medical miracle; it is a story about hope, faith, and the power of perseverance.
Her journey offers inspiration to parents who may have experienced loss, fear, or complications during pregnancy. It reminds us that even in moments of uncertainty, miracles — whether perceived as divine or simply the triumph of life itself — are possible.
From a grieving teenager to a mother of three, Amanda’s path has been marked by both pain and joy. Through it all, she has emerged with a renewed sense of purpose, a deeper faith, and an unwavering love for her children.
The image of the “hand of God” cradling her unborn son serves as a powerful metaphor for the protective, nurturing forces that can guide us through life’s most challenging moments.
For Amanda, this ultrasound is more than a medical record; it is a symbol of hope, healing, and the miraculous potential that life holds — even after loss.
As she awaits Kyler’s birth, she continues to share her journey with a world eager for stories of resilience, faith, and the extraordinary wonders of everyday life.